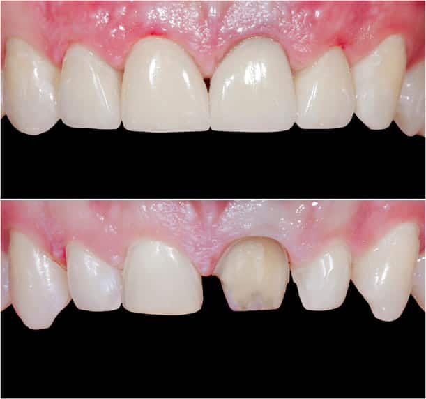
Teeth reshaping before and after photos with ceramic crowns and veneers.

Teeth Shaping​ in Las Vegas

When you are looking for different cosmetic dentistry Las Vegas options to enhance your smile, one common procedure is shaping. Shaping helps address and resolve issues with overcrowding and uneven teeth. It can be used by itself or with a combination of other cosmetic dentistry services, such as teeth whitening.

Call (844) 8-SMILE-NOW or make an appointment today!

Book Your Appointment

What Is Teeth Shaping?

Teeth shaping, also known as cosmetic contouring, helps reshape and contour the teeth to alter their size, shape, and alignment and make them look beautiful. It is perfect for shaping front teeth to resolve minor issues quickly and easily. Shaping is also an alternative option to braces, which can take much longer to align and move teeth. Additionally, shaping can resolve problems with cracked and chipped teeth. 

During the procedure, the dentist reshapes the appearance of the tooth by gently removing a little of the enamel on the outside. They then use tooth-colored resin to protect the tooth once it has been reshaped. 

Am I a Good Candidate for Shaping?

Shaping is a good cosmetic procedure when you only have minor issues with the teeth you want to fix. For major problems, other cosmetic dentistry procedures would be more appropriate. For example, braces or Invisalign would be better if your teeth are severely overcrowded and crooked. Or if you are missing a tooth, Las Vegas dental implants would be ideal for giving you that perfect smile. 

Schedule a consultation for teeth shaping at Absolute Dental today (844) 8‑SMILE‑NOW
(844) 876‑4536


125 off services over 300 125 off services over 300

Take advantage of our latest offer and enjoy $125 off dental services totaling $300 or more. At Absolute Dental, we’re committed to providing expert, affordable care that puts your smile first. Book your appointment today and experience quality dental solutions tailored to your needs!

What To Expect When Getting Your Teeth Shaped

The first step to getting tooth contouring and reshaping is getting a dental cleaning, exam, and X-rays if it’s been more than six months since your last dental visit. This allows the dentist to check the health of your gums and teeth to ensure you are a good candidate for shaping. 

You have to have a strong layer of enamel on the teeth. Otherwise, you will need to consider alternative cosmetic procedures. If you are a decent candidate for teeth reshaping, your dentist will use a special dental tool with a unique attachment to help remove imperfections from the tooth. 

After the procedure, your dentist will give you any special instructions you need to follow. However, although the process is fairly simple, some people might experience minor pain or sensitivity for about a day or two afterward. 

Benefits of Teeth Shaping

Some of the benefits of teeth shaping include:

  • It is a quick, easy procedure that usually only requires a single visit
  • Can resolve minor imperfections in teeth with immediate results 
  • More affordable than other cosmetic procedures 
  • A painless way to get a beautiful smile
  • Aftercare involves avoiding hard foods and chewing on objects, like pens and pencils, until the resin hardens over the next 24 to 48 hours

What Our Patients Say

I like going to this office!!

I like going to this office!! Everyone is very nice. Priscilla is very helpful and nice! She always answers every…

Yelp - Abbu E.

Great atmosphere and customer service!

One of the best experience I've have with Absolute Dental. I love the customer service that is given to all…

Google - Alondra C.

Both my kids are patients here

Both my kids are patients here and my son also has orthodontia treatment here and I'm very happy. The staff…

Yelp - Amy C.

Everyone was so friendly and welcoming

Brought my 2 year old son to see Dr. Shaw for an exam and he absolutely loved the staff. Everyone…

Google - Ana Martinez

Give great direction on handling charges and insurance!

I love this place because they are really down to earth. Not stuffy like most medical offices. The staff will…

Yelp - Angelina M.

Love the team here!

Awesome staff, they are very helpful. Best dentist and very gentle I actually enjoyed my visit to Absolute Dental they…

Google - April S.

Love my results!

Just got my braces off today!! So happy with my beautiful teeth and my results!!!! HUGE s/o to Madonna for…

Google - Azia T.

Everyone here is really nice and friendly!

My husband and I with our 3 children has been going to this location ever since we moved to Las…

Yelp - Bigaon S.

Amazing staff!

If there were 5 more stars I would give this place a 10 all the way! I had a chance…

Google - Danni B.

Awesome Experience

The experience that I had at Absolute Dental was awesome. I hate going to the dentist but it’s comfortable here…

Google - Diego H.

Thank you Absolute Dental!

Respectful explanations and careful pain-free work. Thank you Absolute Dental!

Google - Dwight S.

Dr. Culpepper was amazing!

I haven't been to the dentist in a long long time and decided it's time to start taking care of…

Yelp - Greg F.

Recommend this place to anyone in search of great dental care

My dental hygienist Darlene was amazing. She's always so kind to my three daughters and I. She always is so…

Yelp - Jason T.

Amazing staff at this practice

Amazing staff at this practice, Katrina was really helpful explaining my treatment and she also offered me a payment plan,…

Google - Jeanys Sardinha

We Accept Most Dental Insurance

Absolute Dental is a preferred provider for most insurances, unions, and hotels that include: Aetna, Ameritas, Boon-Chapman, Caesars Palace, Cigna, Delta Dental, Diversified, Geha, Guardian, Harrah’s, HealthSCOPE Benefits, Health Plan of Nevada (HPN), Humana, Liberty, Met-Life, MGM-MIRAGE, Premier Access, The Standard, Station Casinos, Teachers Health Trust, United Concordia, United Healthcare, Venetian, and The Zenith. We also accept Medicaid.

If you do not see your dental insurance listed here, just give us a call to confirm!

No Insurance? No Problem. Try our Smile Saver Program

Every person’s situation is different. If you don’t see your health insurance here, or if you do not have dental insurance, we can help you!

Call us now to discuss your situation and discover what options are right for you.

(844) 8-SMILE-NOW

Find Out If Teeth Reshaping Is For You

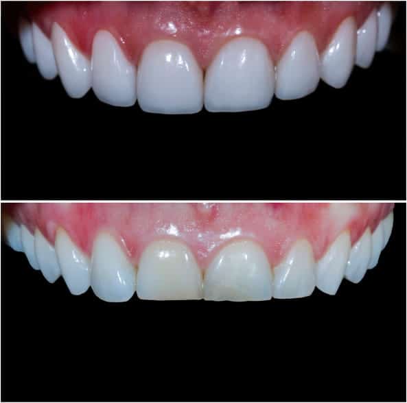
Teeth reshaping before and after photos with ceramic crowns and veneers.

More and more people are discovering the benefits of improving their self-confidence and smiles with teeth reshaping at Absolute Dental in Las Vegas. From fixing chips and small cracks to straightening teeth, reshaping could be right for you. Be sure to check out our latest dentist specials and discounts, or consider joining our Smile Saver program to save on all types of dental services, including reshaping.

Contact Absolute Dental to schedule an appointment for teeth reshaping today (844) 8‑SMILE‑NOW
(844) 876‑4536
Book Now

Neighborhoods We Serve in Las Vegas 

At Absolute Dental, we’re proud to provide comprehensive dental care to families across Las Vegas. Whether you’re in need of teeth cleaning, cosmetic dentistry, braces, or pediatric dental care, we’ve got you covered. From general care to emergency dental services, we’re here to help you and your loved ones maintain healthy, beautiful smiles, with convenient locations in your neighborhood. 

Our Neighborhood Locations:

And more!

Teeth Shaping FAQ

Teeth shaping can cost between $50 and $300 per tooth. However, combining bonding with shaping will increase the cost, which could be as much as $600 per tooth.

Generally, teeth reshaping does not hurt. However, some people might experience some minor sensitivity in the area where the reshaping is being performed. Since anesthesia is used during the procedure, your dentist may apply a numbing agent on your gums to help alleviate any sensitivity. 

Address

7320 South Rainbow Boulevard 103
Las Vegas, Nevada 89139
Phone Number: (702) 825-0270

Hours

Mon: 8:00am - 5:00pm
Tue: 8:00am - 5:00pm
Wed: 8:00am - 5:00pm
Thur: 8:00am - 5:00pm
Fri: 8:00am - 5:00pm
Sat: Call for Availability
Sun: Closed

Address

6127 South Rainbow Boulevard 100
Las Vegas, Nevada 89118
Phone Number: (702) 998-2237

Hours

Monday: 8:00am - 5:00pm
Tuesday: 8:30am - 5:00pm
Wednesday: 8:00am - 5:00pm
Thursday: 8:00am - 5:00pm
Friday: 7:00am - 4:00pm
Saturday: Closed
Sunday: Closed

Address

1860 East Charleston Boulevard
Las Vegas, Nevada 89104
Phone Number: (702) 843-0946

Hours

Mon: 8:00am - 5:00pm
Tue: 8:00am - 5:00pm
Wed: 8:00am - 5:00pm
Thur: 8:00am - 5:00pm
Fri: 8:00am - 5:00pm
Sat: Call for Availability
Sun: Closed

Address

3830 East Flamingo Road Ste E2
Las Vegas, Nevada 89121
Phone Number: (702) 843-5014

Hours

Mon: 8:00am - 5:00pm
Tue: 8:00am - 5:00pm
Wed: 8:00am - 5:00pm
Thur: 8:00am - 5:00pm
Fri: 8:00am - 5:00pm
Sat: Call for Availability
Sun: Closed

Address

3674 East Sunset Road 120
Las Vegas, Nevada 89120
Phone Number: (702) 724-8200

Hours

Monday: 8:00am - 5:00pm
Tuesday: 8:00am - 5:00pm
Wednesday: 8:00am - 5:00pm
Thursday: 8:00am - 5:00pm
Friday: 8:00am - 5:00pm
Saturday: 9:00am - 3:00pm
Sunay: Closed

Address

8380 West Cheyenne Avenue ste 102
Las Vegas, Nevada 89129
Phone Number: (702) 843-0949

Hours

Mon: 8:00am - 5:00pm
Tue: 8:00am - 5:00pm
Wed: 8:00am - 5:00pm
Thur: 8:00am - 5:00pm
Fri: 8:00am - 5:00pm
Sat: Call for Availability
Sun: Closed

Address

6122 West Lake Mead Boulevard ste 105
Las Vegas, Nevada 89108
Phone Number: (702) 843-5033

Hours

Mon: 8:00am - 5:00pm
Tue: 8:00am - 5:00pm
Wed: 8:00am - 5:00pm
Thur: 8:00am - 5:00pm
Fri: 8:00am - 5:00pm
Sat: 8:00am - 1:00pm
Sun: Closed

Address

8430 Farm Road 120
Las Vegas, Nevada 89131
Phone Number: (702) 843-5008

Hours

Mon: 8:00am - 5:00pm
Tue: 8:00am - 5:00pm
Wed: 8:00am - 5:00pm
Thur: 8:00am - 5:00pm
Fri: 8:00am - 2:00pm
Sat: Closed
Sun: Closed

Address

4035 South Durango Drive 103
Las Vegas, Nevada 89147
Phone Number: (702) 843-0921

Hours

Mon: 7:00am - 4:00pm
Tue: 7:00am - 4:00pm
Wed: 7:00am - 4:00pm
Thur: 7:00am - 4:00pm
Fri: 7:00am - 4:00pm
Sat: Closed
Sun: Closed

Address

169 N Nellis Blvd
Las Vegas, Nevada 89110
Phone Number: (702) 843-5098

Hours

Mon: 9:00am - 6:00pm
Tue: 9:00am - 6:00pm
Wed: 9:00am - 6:00pm
Thur: 9:00am - 6:00pm
Fri: 9:00am - 6:00pm
Sat: 8:00am - 3:00pm
Sun: Closed

Address

3945 South Maryland Parkway Ste A
Las Vegas, Nevada 89119
Phone Number: (702) 843-5042

Hours

Mon: 8:00am - 5:00pm
Tue: 8:00am - 5:00pm
Wed: 8:00am - 5:00pm
Thur: 8:00am - 5:00pm
Fri: 7:00am - 4:00pm
Sat: Call for Availability
Sun: Closed

Address

9400 South Eastern Avenue 101
Las Vegas, Nevada 89123
Phone Number: (702) 843-0971

Hours

Mon: 8:00am - 5:00pm
Tue: 8:00am - 5:00pm
Wed: 8:00am - 5:00pm
Thur: 8:00am - 5:00pm
Fri: 8:00am - 5:00pm
Sat: 7:00am - 1:00pm
Sun: Closed

Address

945 S Rainbow Blvd
Las Vegas, Nevada 89145
Phone Number: (702) 825-0581

Hours

Mon: 8:00am - 5:00pm
Tue: 8:00am - 5:00pm
Wed: 8:00am - 5:00pm
Thur: 8:00am - 5:00pm
Fri: 8:00am - 5:00pm
Sat: 8:00am - 1:00pm
Sun: Closed

Address

4300 Meadows Lane 1350
Las Vegas, Nevada 89107
Phone Number: (702) 843-5039

Hours

Mon: 8:00am - 5:00pm
Tue: 8:00am - 5:00pm
Wed: 8:00am - 5:00pm
Thur: 8:00am - 5:00pm
Fri: 8:00am - 5:00pm
Sat: 8:00am - 3:00pm
Sun: Closed

Address

4720 Blue Diamond Road Ste 100
Las Vegas, Nevada 89139
Phone Number: (702) 583-5342

Hours

Mon: Call for availability
Tue: 8:00am - 5:00pm
Wed: 8:00am - 5:00pm
Thur: 8:00am - 5:00pm
Fri: 8:00am - 5:00pm
Sat: Call for availability
Sun: Closed

Address

8380 West Cheyenne Avenue ste 104
Las Vegas, Nevada 89129
Phone Number: (702) 733-0888

Hours

Mon: 8:00am - 5:00pm
Tue: 8:00am - 5:00pm
Wed: 8:00am - 5:00pm
Thurs: 8:00am - 5:00pm
Fri: 8:00am - 5:00pm
Sat: Call For Availability
Sun: Closed

Address

6820 West Flamingo Road # I
Las Vegas, Nevada 89103
Phone Number: (702) 848-7760

Hours

Sunday: CLOSED
Monday: 9:00am - 5:00pm
Tuesday: 9:00am - 5:00pm
Wednesday: 9:00am - 5:00pm
Thursday: 9:00am - 5:00pm
Friday: 9:00am - 5:00pm
Saturday: CLOSED

Address

7901 West Tropical Parkway 120
Las Vegas, Nevada 89149
Phone Number: ​(702) 839-5030

Hours

Mon: 8:00 AM - 5:00 PM
Tue: 8:00 AM - 5:00 PM
Wed: Closed
Thur: 8:00 AM - 4:00 PM
Fri: 8:00 AM - 4:00 PM
Sat: Closed
Sun: Closed

Address

3226 North Decatur Boulevard
Las Vegas, Nevada 89130
Phone Number: (702) 648-6800

Hours

Mon: 9:00am - 5:00pm
Tue: 9:00am - 5:00pm
Wed: 9:00am - 5:00pm
Thur: 9:00am - 5:00pm
Fri: 9:00am - 5:00pm
Sat: Call for Availability
Sun: Closed

Address

2030 East Warm Springs Road
Las Vegas, Nevada 89119
Phone Number: (702) 735-4470

Hours

Mon: 9:00am - 5:00pm
Tue: 9:00am - 5:00pm
Wed: 9:00am - 5:00pm
Thurs: 7:00am - 4:00pm
Fri: 7:00am-2:00pm
Sat: Closed
Sun: Closed

Address

8445 West Flamingo Road Suite 2
Las Vegas, Nevada 89147
Phone Number: (702) 309-0909

Hours

Monday: CLOSED
Tuesday: Call for Availability
Wednesday: 8:00am - 5:00pm
Thursday: 8:00am - 5:00pm
Friday: 8:00am - 5:00pm
Saturday: Call for Availability
Sunday: CLOSED

Address

320 North Nellis Boulevard unit 4
Las Vegas, Nevada 89110
Phone Number: (702) 605-9120

Hours

Monday: 8:00am - 5:00pm
Tuesday: 8:00am - 5:00pm
Wednesday: 8:00am - 5:00pm
Thursday: 7:00am - 5:00pm
Friday: 8:00am - 4:00pm
Saturday: 8:00am - 2:00pm
Sunday: Closed

Address

7581 West Lake Mead Boulevard 160
Las Vegas, Nevada 89128
Phone Number: (702) 551-4128

Hours

Monday: 8:00am - 5:00pm
Tuesday: 8:00am - 5:00pm
Wednesday: 8:00am - 5:00pm
Thursday: 8:00am - 5:00pm
Friday: 8:00am - 5:00pm
Saturday: Closed
Sunday: Closed

Address

7101 West Craig Road suite 102
Las Vegas, Nevada 89129
Phone Number: (702) 625-8031

Hours

Monday: 8:00am - 5:00pm
Tuesday: 8:00am - 5:00pm
Wednesday: 8:00am - 5:00pm
Thursday: 8:00am - 5:00pm
Friday: 8:00am - 5:00pm
Saturday: Closed
Sunday: Closed

Address

5731 South Fort Apache Road #110
Las Vegas, Nevada 89148
Phone Number: (702) 476-2700

Hours

Monday: 9:00AM - 6:00PM
Tuesday: 9:00AM - 6:00PM
Wednesday: 9:00AM - 6:00PM
Thursday: 9:00AM - 6:00PM
Friday: Closed
Saturday: Closed
Sunday: Closed

Address

8710 West Charleston Boulevard suite 100
Las Vegas, Nevada 89117
Phone Number: (702) 330-8952

Hours

Monday: 7:00 AM - 5:30 PM
Tuesday: 7:00 AM - 5:30 PM
Wednesday: 7:00 AM - 5:30 PM
Thursday: 7:00 AM - 5:30 PM
Friday: Closed
Saturday: 8:00 AM - 2:00 PM
Sunday: Closed

Address

7520 West Sahara Avenue
Las Vegas, Nevada 89117
Phone Number: (702) 384-7200

Hours

Monday: 9:00 AM - 5:00 PM
Tuesday: 9:00 AM - 5:00 PM
Wednesday: 9:00 AM - 5:00 PM
Thursday: 9:00 AM - 5:00 PM
Friday: Closed
Saturday: Closed
Sunday: Closed

Address

6910 South Rainbow Boulevard Suite 104
Las Vegas, Nevada 89118
Phone Number: (702) 395-0157

Hours

Monday: 7:00am-4:00pm
Tuesday: 7:00am-4:00pm
Wednesday: 7:00am-4:00pm
Thursday: 7:00am-4:00pm
Friday: 7:00am-4:00pm
Saturday: Closed
Sunday: Closed

Start Smiling Now

Call us now to make an appointment at a location near you and receive a complete exam & X-ray for only $39.

Call and Make Your Appointment

(844) 8-SMILE-NOW
(844) 876-4536

Start Your Appointment Online

Make Appointment